Atenção
Fechar
A Figura 207 corresponde a mais recente versão do diagrama de equilíbrio Fe-C. Esse diagrama é relativo apenas à liga binária Fe-C, em que o principal elemento de liga é o carbono.

Fig. 207 – Diagrama de equilíbrio Fe-C.
As considerações que podem ser feitas ao analisar os fenômenos que ocorrem na faixa relativa aos ferros fundidos são as seguintes:
- ao teor de 4,3%, temperatura de 1148° (ponto C), corresponde à liga de mais baixo ponto de solidificação ou fusão; essa liga é chamada eutética;
- as ligas entre 2,0 e 4,3% de carbono são chamadas hipoeutéticas; aquelas de carbono acima de 4,3% são chamadas hipereutéticas. Os ferros fundidos correspondentes seriam pois denominados hipoeutéticos, hipereutéticos e eutéticos (estes últimos com 4,3% de carbono).
- ao resfriar lentamente uma liga binária Fe-C com teor de carbono correspondente à liga eutética (ponto C), verifica-se que, exatamente no ponto C, a mesma se solidifica, havendo em equilíbrio duas fases: austenita de um lado e Fe3C (cementita) do outro lado. Esse eutético cristalizado é chamado “ledeburita” e é constituído de um fundo de cementita com aproximadamente 6,7% de carbono e cristais dentríticos de austenita, contendo 2,0% de carbono;
- continuando o resfriamento, verifica-se uma diminuição gradativa do teor de carbono de austenita, visto que a composição desta acompanha a inclinação da linha ES ou Acm.
Esse fenômeno prossegue até que se tenha atingido a temperatura 727°C (ponto S), correspondente a 0,77% de carbono, na linha A1, abaixo da qual, como se sabe, não pode mais existir a austenita.
- ao ultrapassar, pois, a linha A1, essa austenita transforma-se em perlita. Assim sendo, a ledeburita, abaixo de 727°C, até a temperatura ambiente (faixa de temperaturas dentro qual nenhuma nova transformação ocorre) será constituída de glóbulos de perlita sobre um fundo de cementita; o aspecto micrográfico desse constituinte, que corresponde, pois, ao de um ferro fundido com 4,3% de carbono, está representado na figura 208.
Fig. 208 – Aspecto micrográfico da ledeburita. Estrutura típica de ferro fundido branco com 4,3% de carbono; glóbulos de perlita sobre um fundo de cementita.
Ataque: pícrico. Aumento: 530X (Gentileza do Instituto de Pesquisas Tecnológicas de São Paulo).
- suponha-se, agora, um ferro fundido hipoeutético, por exemplo, com 3% de carbono: linha X da Fig. 207. Acima da linha liquidus, a liga está inteiramente liquefeita. Durante seu resfriamento, ao atingir-se o ponto X1, ocorre a formação dos primeiros cristais sólidos de austenita, cujo teor de carbono é dado pela intersecção da horizontal passando a partir de X1, até encontrar a linha solidus JE;
- continuando o resfriamento, suponha-se ter sido atingida a temperatura correspondente ao ponto X2. A essa temperatura, a liga de 3,0% de carbono apresenta, em equilíbrio, duas fases, como se pode perceber pelas intersecções da horizontal por X2 até os extremos do diagrama (linhas solidus e liquidus): austenita, que se enriquece paulatinamente de carbono e o líquido, cuja composição, por sua vez, percorre a linha liquidus. Em resumo: à medida que a liga com 3,0% de carbono se aproxima da linha solidus, cristais de austenita se formam em quantidades cada vez maiores, diminuindo a quantidade de fase líquida. Ao atingir-se a temperatura correspondente à linha solidus, no ponto X3, estão em equilíbrio a fase austenita com 2,0% de carbono e eutético com 4,3% de carbono (ou seja, ledeburita, por sua vez constituída de austenita e cementita);
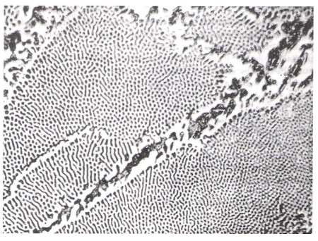
- prosseguindo o resfriamento, a austenita isolada de um lado e a austenita da ledeburita do outro terão seu teor de carbono novamente alterado para valores decrescentes, ao percorrer a sua composição a linha Acm, até ser atingida a temperatura de 727°C, correspondente à linha A1, quando toda a austenita (inclusive a da ledeburita) se transforma em perlita. Daí até a temperatura ambiente, nenhuma nova transformação ocorre. Em conseqüência, abaixo de 727°C, a liga com 3,0% de carbono será constituída de cristais de perlita envolvidos por ledeburita que, por sua vez, é agora constituída de glóbulos de perlita sobre um fundo de cementita. Seu aspecto micrográfico é o indicado na Fig.209;

Fig. 209 – Aspecto micrográfico apresentado por um ferro fundido hipoeutético. A estrutura apresenta dendritas de perlita, áreas pontilhadas constituídas de ledebiruta e algumas áreas brancas constituídas de cementita. Ataque: picral. Aumento: 530X (Gentileza do Instituto de Pesquisa Tecnológica de São Paulo)
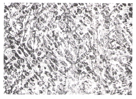
- considere-se, por fim, uma liga hipereutética, por exemplo, com 5% de carbono (linha Y). Adotando do mesmo raciocínio, ter-se-á: entre as linhas liquidus e solidus, cristais de cementita de forma alongada, formados em primeiro lugar, e líquido, cuja composição percorre a linha liquidus, no sentido do ponto eutético. Ao atingir a temperatura de 1148°C, dar-se-á a solidificação total e as fases em equilíbrio serão: cementita de um lado e o eutético ledeburita (austenita mais cementita) do outro;
- entre as linhas solidus e a linha A1, nada ocorre com a cementita; mas a austenita do eutético (ledeburita) terá seu teor de carbono alterado, percorrendo a linha Acm até atingir-se a linha A1, quando ela passa a perlita. Assim, a 727°C (linha A1), a liga considerada será constituída das fases: cristais alongados de cementita e um fundo de ledeburita (glóbulos de perlita mais cementita). Seu aspecto micrográfico, que permanece até a temperatura ambiente, é o da Fig. 210.

Fig. 210 – Aspecto micrográfico de ferro fundido branco hipereutético. A estrutura apresenta longos cristais de cementita sobre um fundo de ledeburita. Ataque: pícrico. Aumento: 150 x (Gentileza do Instituto de Pesquisas Tecnológicas de São Paulo).
As microestruturas mostradas são típicas de ferros fundidos absolutamente brancos, pois não está presente qualquer quantidade de silício. Tais ligas, como se verá posteriormente, têm utilização relativamente limitada, face às propriedades mecânicas geralmente desfavoráveis para as aplicações mais comuns.